티스토리 뷰
목차

오늘 포스팅에서는 스케일링의 가격 및 비용 주의사항 그리고 치석 예방 방법에 대해 알아보겠습니다. 스케일링은 주기적으로 받아주는 것이 좋습니다. 하지만 현대인들은 바쁘거나 귀찮아서 가지 않는 경우가 많습니다. 가격 보험 적용 여부가 궁금하시다면 같이 읽어주세요.
치과 스케일링의 역할
치과 스케일링은 치석을 제거하는 치료 방법입니다. 이는 치아의 상태와 잇몸 건강 유지에 중요한 역할을 합니다.
치석이란?

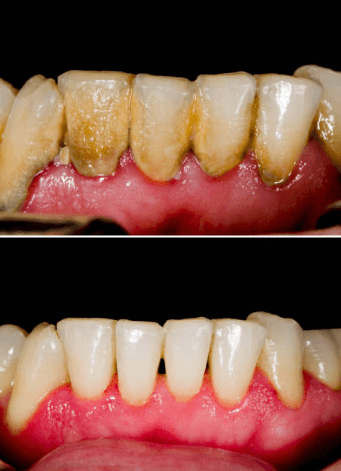
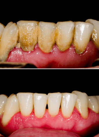
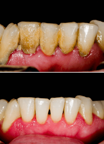
치석은 치아 표면에 치아 결합이 되어 굳어져 석화된 것을 말합니다. 치석에는 여러 종류가 있으며, 침샘 주변에 많이 형성되는 것을 '치은 연상 치석'이라 하고, 잇몸 아래에 위치한 치아와 치아 사이에 위치하는 것을 '치은 연하 치석'이라고 합니다.
치석 예방하는 방법

치석 예방을 위한 대표적인 방법으로는 양치질이 있습니다. 하지만 양치질을 하는 방법이 사람마다 다릅니다. 올바른 양치질 방법은 잇몸을 마사지하듯이 하면서 플라크와 노폐물을 털어내는 것입니다.
또한 치실과 치간칫솔을 이용해 치아 사이사이에 붙어 있는 이물질을 깨끗이 제거하는 것이 좋습니다. 이렇게 올바른 양치질을 하는 것이 중요합니다.
또한 칫솔은 주기적으로 교체해야 합니다. 칫솔 교체 주기는 대체로 약 3개월이지만, 사람의 양치질 상태에 따라 더 짧을 수도 있습니다. 또한, 주기적으로 치과를 방문해 치아 건강을 관리하는 것도 좋습니다.
치석이 생기는 원인
치석의 대표적인 원인으로는 담배, 탄산음료, 밀가루 음식, 초콜릿 등 달달한 음식이 있습니다. 또한, 잘못된 양치질도 치석 생성을 촉진합니다.
치석은 음식찌꺼기와 세균이 결합해 생성되는 경우도 있습니다. 치태가 무기질을 흡수하면서 단단해집니다. 단단해진 치석은 칫솔로 쉽게 제거할 수 없습니다.
스케일링을 안 하면 생기는 일



치석으로 인해 구강 내부에 세균이 증식하면 구강질환을 일으키는 경우가 많습니다. 치석은 치아를 누렇게 만들어 보기가 좋지 않습니다. 양치질을 올바르게 하면 치석 예방이 가능하지만, 치아에 문제가 생기면 큰 불편을 초래합니다.
스케일링 후 주의사항 : 술, 담배, 커피
치과 스케일링 후 술 담배 가능시기
오늘 포스팅에서는 치과 스케일링 후 흡연, 음주, 및 양치 식사가 언제부터 가능한지 알려드리겠습니다. 치석 제거를 하기 위해 매년 주기적으로 스케일링은 필수입니다. 대부분의 사람들이 1년
mimi.gritmami.com
스케일링 후에는 단단한 음식보다는 부드러운 음식을 먹는 것이 좋습니다. 또한, 커피는 치아 착색이 될 수 있으므로 피하는 것이 좋습니다. 만약 진짜 커피를 마시고 싶다면 먹고 난 후에는 입을 헹구는 것이 좋습니다.
회복 기간 동안에는 최소 2~3일은 음주와 흡연을 자제하는 것이 좋습니다. 술과 담배는 잇몸 건강에 치명적일 수 있습니다. 만약 스케일링 후 잇몸에 피가 많이 나온다면 최소 7일~3주 동안은 자제하는 것이 좋습니다.
스케일링 후 시림과 통증이 있을 수 있으며, 보통 며칠이면 괜찮아지지만 장기간 이어진다면 치과를 방문하는 것이 좋습니다.
스케일링 관리 주기

스케일링 주기는 6~12개월에 한 번씩 하는 것이 권장됩니다. 저는 그러므로 1년에 한 번씩 받을 계획입니다.
스케일링 가격 비용 및 건강보험 적용 가능 유무
| 의원급 | 병원급 | 종합병원 | 상급종합병원 |
| 1만 5천원 ~ 1만 6천원 | 2만 2천원 ~ 2만 5천원 | 3만 1천 6백원 | 5만 2천 2백원 |
각 병원마다 가격이 다르며, 스케일링은 저렴한 동네병원에서 받는 것이 좋습니다. 만 19세 이상이면 건강보험이 적용되지만, 비보험으로 하는 경우에는 4~6만 원 정도의 비용이 들 수 있습니다.
오늘 포스팅에서는 스케일링 가격, 비용, 건강보험 적용 가능 유무에 대해 알아보았습니다. 감사합니다.