티스토리 뷰
목차
드라마 닥터 차정숙에서 크론병을 언급해서 요즘 논란이 되고 있죠?
방송된 내용에서 "어떻게 이런 못된 병을 숨기고 결혼을 할 수 있나" "이 병 유전도 된다! 이 결혼 자네가 포기해라. 남편 병수발들게 만드는 꼴 못본다"는 대사가 있어서 시청자들이 대체 크론병이 어떤 병인가? 불치병인가? 하는 의심이 드셨을겁니다. 오늘은 크론병에 대해 자세히 알아보겠습니다!


크론병이란?


크론병은 소화기관의 만성적인 염증으로 인해 장이나 직장의 어느 부분에서든 발생할 수 있는 질환입니다.
이러한 염증은 장관벽을 손상시키고, 다양한 증상을 유발할 수 있습니다.
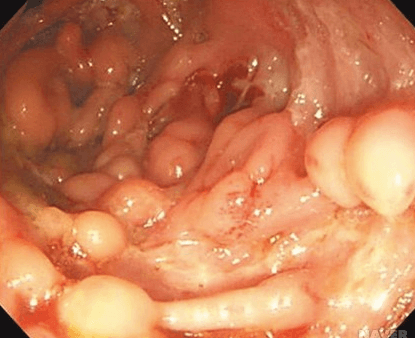
크론병은 그 증상과 심각도가 다양하기 때문에, 정확한 진단과 조기 치료가 필요합니다. 이러한 진단을 위해서는 내시경 검사, 혈액 검사, X-선 등의 검사가 필요합니다. 이러한 검사는 환자의 질병 상태를 파악하는 데 매우 중요합니다.
크론병의 증상과 진단


크론병은 소화기관의 염증으로 인해 다양한 증상을 유발합니다.
이 증상에는 복부 통증, 설사, 체중 감소, 혈액이 섞인 변 등이 포함됩니다.
따라서, 정확한 진단을 위해서는 내시경 검사, 혈액 검사, X-선 등의 검사가 필요합니다. 이러한 검사는 환자의 질병 상태를 파악하는 데 매우 중요합니다.
또한, 환자의 상태가 안정되지 않은 경우, 병원 입원이 필요할 수도 있습니다. 입원 후에는 전문적인 치료 및 감시가 이루어지며, 환자의 상태가 안정될 때까지 치료가 계속됩니다.
장이 건강해지는 속편한 음식
가장 흔한 소화기 질환 중 하나인 과민성 대장 증후군은 생명에 지장을 주지는 않지만, 환자에게는 오랜 기간 고통을 주는 질환입니다. 변비나 설시는 물론 수시로 복부팽만감 및 불쾌감 등의
a.essencekoko.com
크론병 예방 방법


- 건강한 식습관 유지
- 과다한 알코올, 흡연, 당분과 지방이 많은 음식 섭취 피하기
- 적극적인 운동과 식이섬유가 풍부한 식품 섭취
- 면역 체계 강화를 위한 비타민과 미네랄이 풍부한 음식 섭취
- 스트레스 관리
- 더 많은 노력이 필요함
면역력을 높이는 5가지 음식
원래 질병과 부상은 인간이 가진 자연 치유력에 의해 완화가 됩니다. 발열 또는 고름이 나오는 것은 건강을 회복하기 위한 싸움의 징후입니다. 따라서 면역력을 강화시키는 식단은 정기적으로
essencekoko.com
크론병 치료 방법
크론병은 장의 부위에 따라 발생하는 질환으로, 증상과 심각도가 다양합니다.
따라서, 치료 방법 또한 환자의 상태에 따라 다르게 적용됩니다.
- 항염증제는 대부분의 환자들에게 처방되며, 그 외에도 면역 억제제, 항생제, 스테로이드 등 다양한 약물 치료가 필요할 수 있습니다.
- 환자의 심각한 증상이나 합병증이 있는 경우에는 수술적인 치료가 필요할 수도 있습니다. 수술적인 치료는 대개 작은 부위에서의 수술로 끝나지만, 때로는 전 장적 수술이 필요한 경우도 있습니다.
따라서, 각 환자의 상태와 질환의 심각도에 따라 치료 방법이 결정되며, 정확한 진단과 치료가 필요합니다.
마치며..
크론병은 장 질환 중 하나로, 증상이 발생하면 정확한 진단과 조기 치료가 필요합니다.
건강한 식습관과 생활 습관을 유지하며, 적극적인 예방과 조치를 취함으로써 크론병을 예방할 수 있습니다.
